脳神経外科
診療科について
脳神経外科は、脊椎・脊髄疾患を中心に診療しておりますが、頭部外傷、脳卒中、てんかん発作など、幅広く地域の救急医療に貢献しております。また当院は回復期リハビリテーション病棟、療養病棟、障害者病棟も併設しています。
当科では一般社団法人 日本脳神経外科学会主導の手術症例登録事業に参加しています。
主な疾患
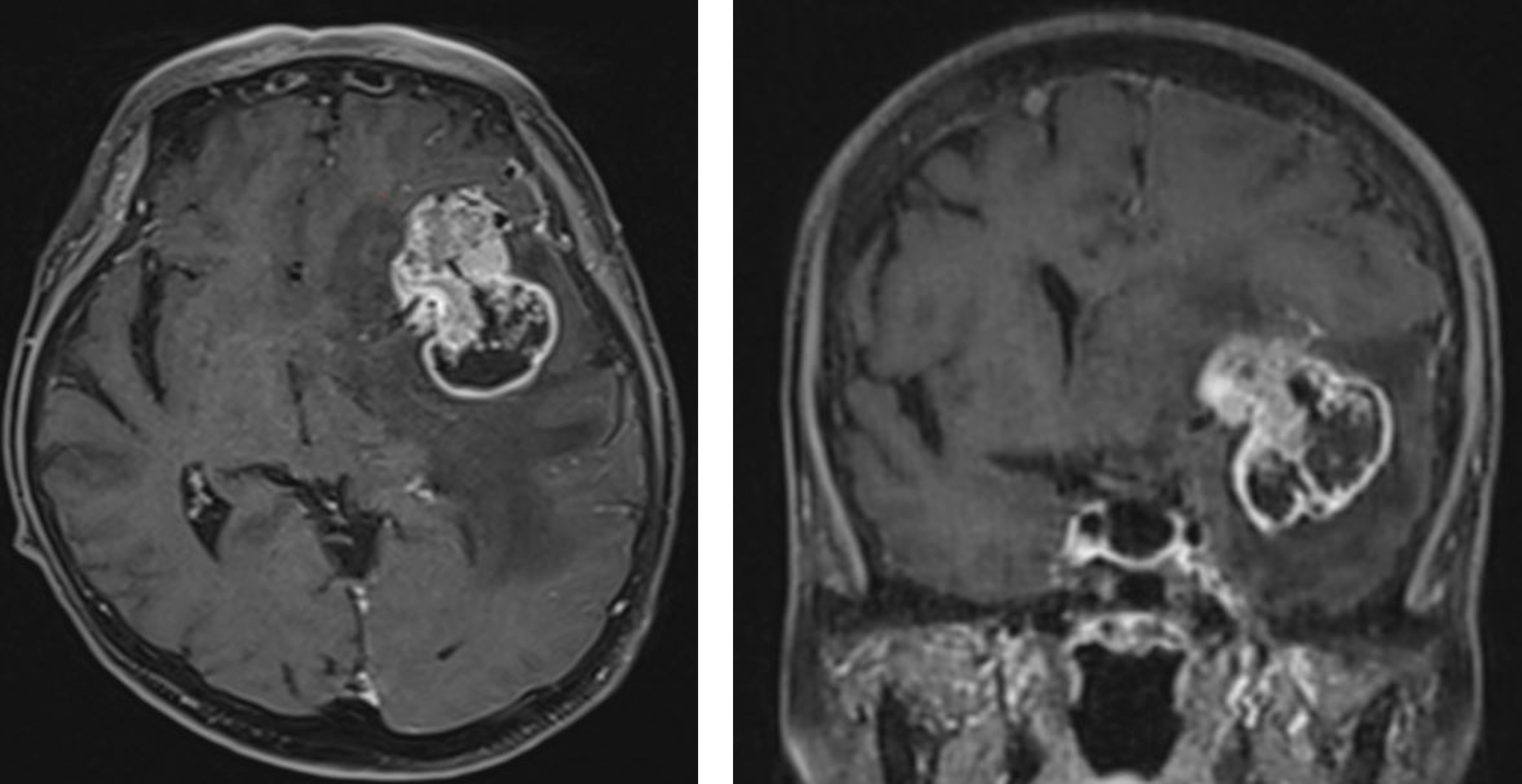
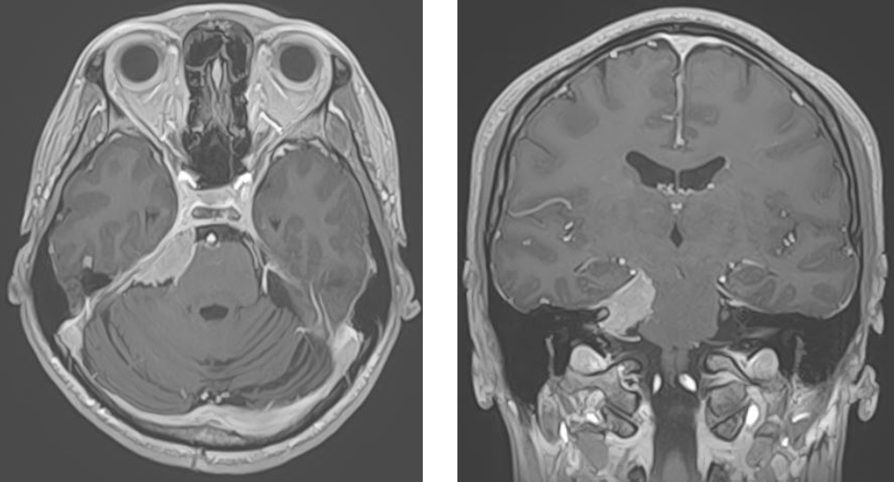
脳腫瘍
悪性神経膠腫、膠芽腫(グリオブラストーマ)
神経膠腫の中でも、膠芽腫は最も悪性度が高い腫瘍です。膠芽腫には、初発時から膠芽腫の所見を呈するもの(一次性膠芽腫)と、星細胞腫などから悪性転化して生じたもの(二次性膠芽腫)の2種類があります。大脳半球に発生することが多く、浸潤性が強い腫瘍で脳の神経線維の走行に沿って進展していきます。症状は頭痛のほか、けいれん発作、言語障害や運動麻痺などの他、性格変化、認知症などが生じることもあります。早いものは週単位で症状がどんどん悪化していきます。治療のはじめは手術で、安全な範囲内で可及的に最大限の摘出を行うことが薦められます。手術後の後療法として、放射線・テモゾロミドを用いた化学療法を行っています。その他、維持療法中の電場療法についても外来で行っております。
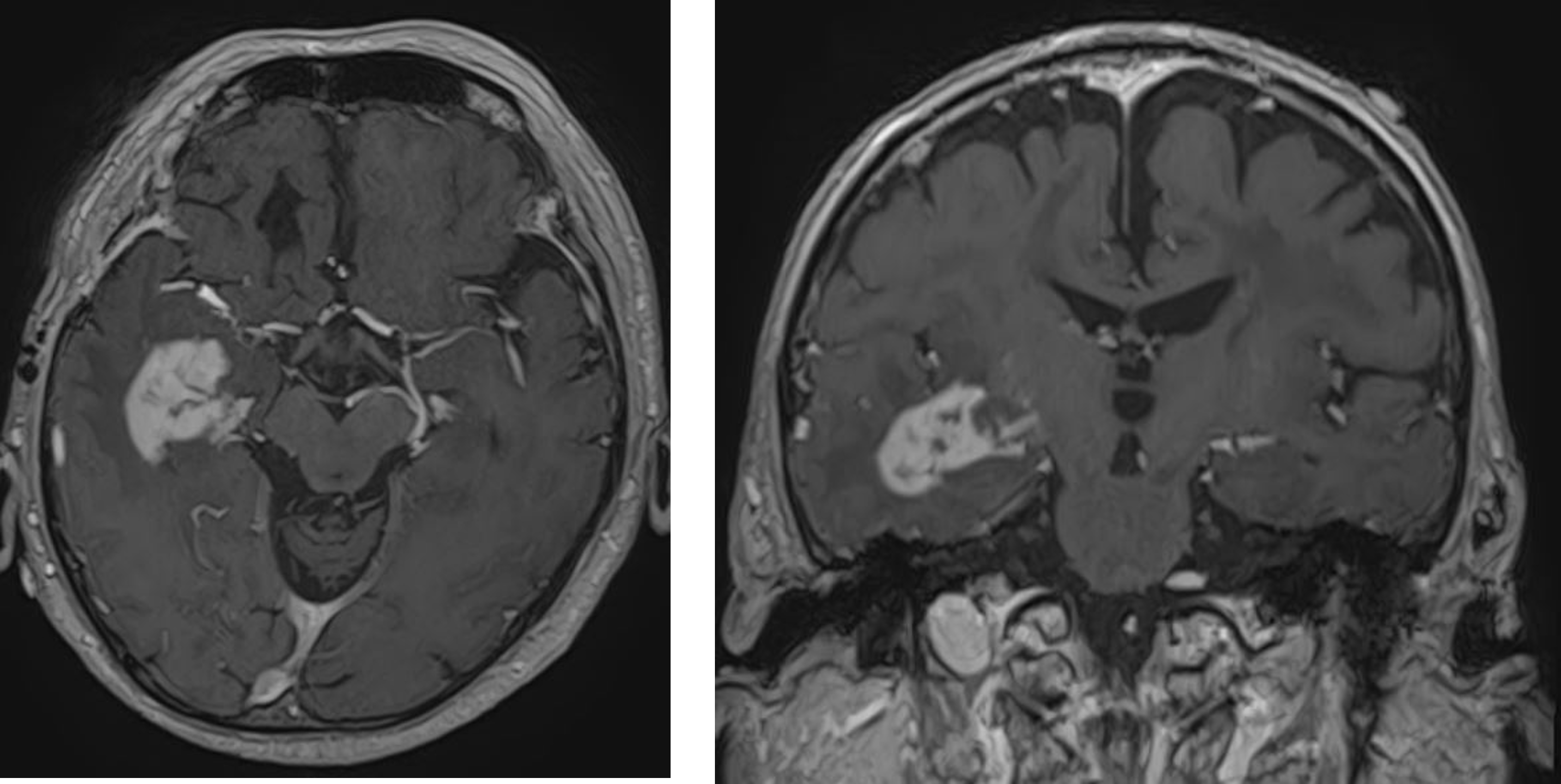
髄膜腫
髄膜腫は原発性脳腫瘍のうち最も頻度の高いものです。緩徐な増大を来し無症状であることも多く、脳ドック検査などで偶然発見される場合もあります。治療後も再発や転移を起こさない良性の経過を来すものが多いですが、一部に細胞分裂が速かったり、何度も再発を来すような悪性度の高いものが存在しますので注意が必要です。小さく進行がゆっくりであるものは経過観察を行うことが一般的です。摘出の難易度を左右する要因は、腫瘍の部位、大きさ、硬さ、栄養血管の豊富さなどがあげられます。腫瘍が大きい場合は、周囲の脳や神経、正常血管と癒着している場合があります。頭蓋内の深部に存在するものは手術の難易度が高い場合があります。手術は血流が多い症例もあり、術前に血管内治療で栄養血管を塞栓した方が手術時の出血量を減らせたりすることが多く、この方法を取り入れています。
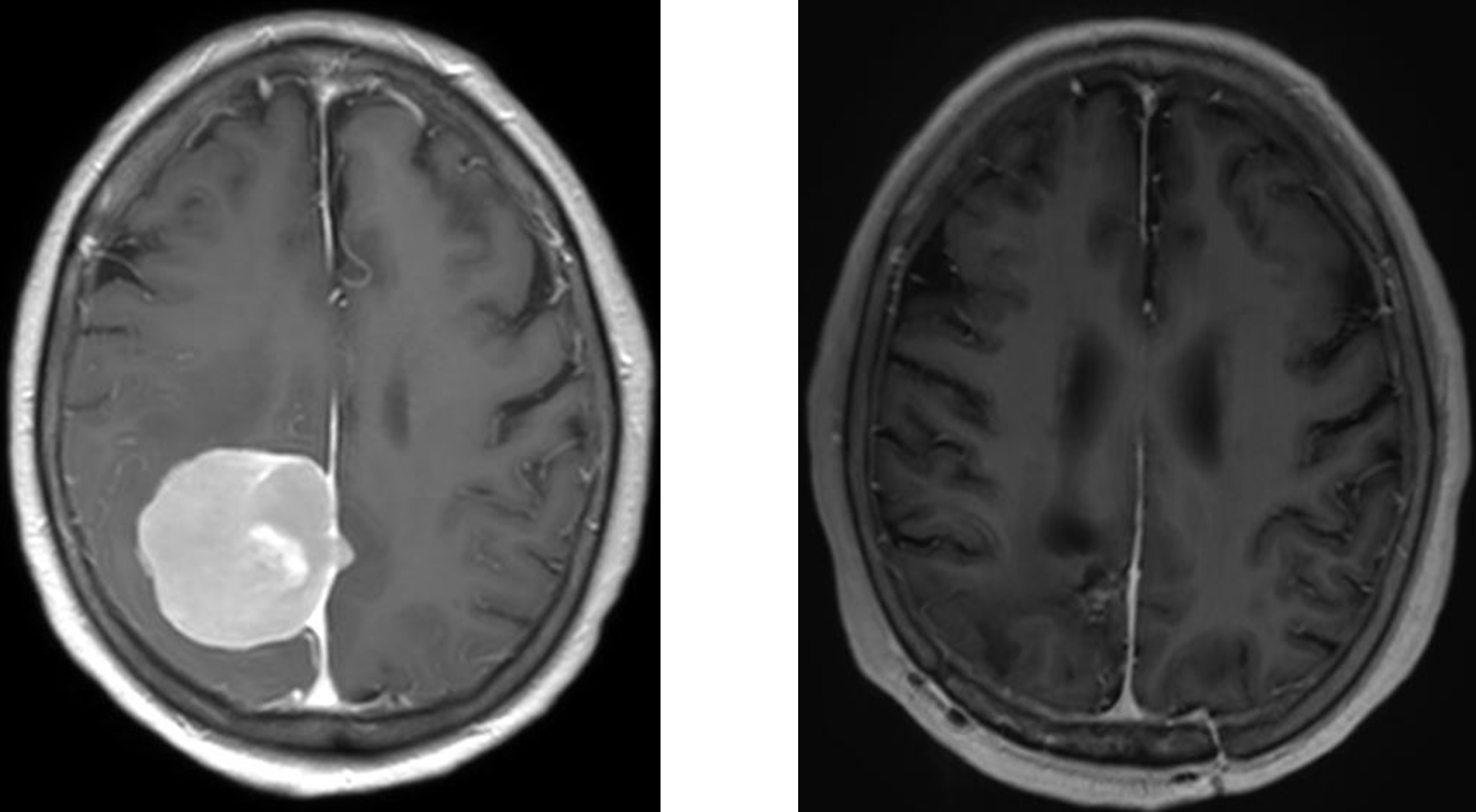
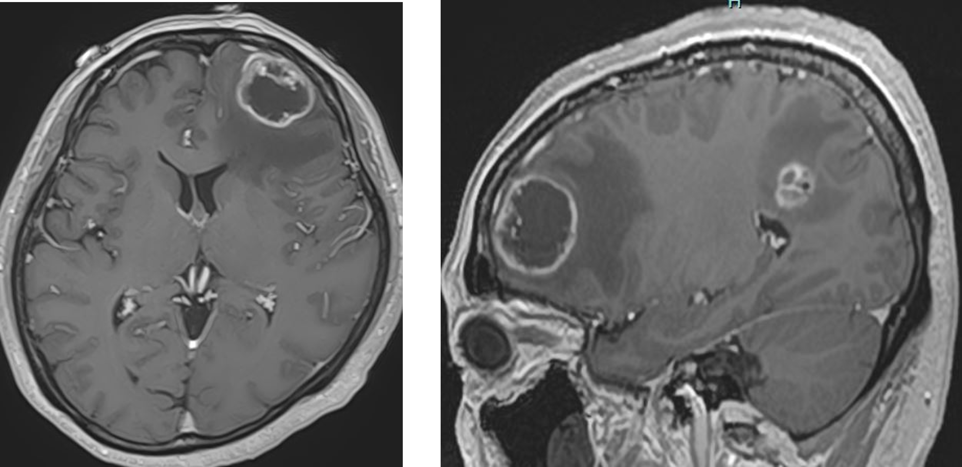
転移性脳腫瘍
転移性脳腫瘍は、頭蓋内以外のがん病巣より、主に血行性転移を起こした疾患です。一般的に、病変や3㎝以上の大きさで、原発巣のコントロールが比較的良く、少なくとも6カ月以上の生存が見込める症例が手術適応となります。手術により局在症状、脳圧亢進症状の改善を図ることにより、日常生活動作を維持したり生活の質(クオリティ・オブ・ライフ)の回復を目指すことで、がん治療を継続できることが目標になります。
それ以外の転移性脳腫瘍は、全脳照射や定位放射線治療(サイバーナイフやガンマナイフ、ライナックナイフなど)といった定位放射線療法が有効な場合があります。転移巣が複数ある場合が多くある場合にも有効な治療法になります。大阪大学やその他、放射線治療可能施設と連携しており、治療を行っております。我々が参加したJCOG0504試験では、複数ある転移巣の場合も、大きいものは腫瘍を摘出し、残りは定位放射線療法する方法は、標準治療である全脳照射と比較して非劣性であったという結果となっております。
がん治療認定医資格を有する医師が複数名在籍しております。院内および院外の原発巣を診ておられる先生方と連携を取って治療を行ってまいります。
それ以外の転移性脳腫瘍は、全脳照射や定位放射線治療(サイバーナイフやガンマナイフ、ライナックナイフなど)といった定位放射線療法が有効な場合があります。転移巣が複数ある場合が多くある場合にも有効な治療法になります。大阪大学やその他、放射線治療可能施設と連携しており、治療を行っております。我々が参加したJCOG0504試験では、複数ある転移巣の場合も、大きいものは腫瘍を摘出し、残りは定位放射線療法する方法は、標準治療である全脳照射と比較して非劣性であったという結果となっております。
がん治療認定医資格を有する医師が複数名在籍しております。院内および院外の原発巣を診ておられる先生方と連携を取って治療を行ってまいります。
頭蓋底腫瘍
頭蓋底腫瘍は頭蓋骨の底部に発生する腫瘍の総称です。腫瘍が脳の深部にあること、 また多くの重要な神経組織や血管などが近くにあるため、危険性が高く、治療成績は思わしくありませんでした。しかし近年では、顕微鏡に加えて内視鏡を用いた手術手技が開発され、手術成績はかなり向上してきています。当院では、手術の部位により、外視鏡と顕微鏡を組み合わせた手術手技を行っております。低侵襲で、かつ最大限の摘出を目的とする取り組みを行っております。下垂体を含むトルコ鞍近傍に発生する腫瘍が多いですが、中頭蓋窩、後頭蓋窩に発生する腫瘍性病変に対しても良好な治療成績を得ております。
小児中枢神経系腫瘍
小児がんの中で、脳腫瘍は白血病について第2位の数を占めます。 化学療法の進歩に伴い白血病の大部分は治る病気となってきており、現在は脳腫瘍が死亡率の第1位です。 また、頻度の多い小児脳腫瘍として、星細胞腫、髄芽腫、胚細胞性腫瘍、頭蓋咽頭腫、上衣腫などが挙げられます。
成人では約9割の脳腫瘍が大脳に発生するのに対し、小児では約6割が小脳や脳幹に発生します。 また脳の正中部付近に発生しやすく、脳脊髄液の循環障害により水頭症になりやすいことが知られています。 また、この髄液循環障害や急激な増大などにより、頭蓋内圧亢進症状が起こりやすく、緊急で治療を要する場合があります。
また、小児脳腫瘍は組織型が非常に多彩で、正確な病理診断が難しい場合があります。 経験が豊富な病理医による診断および小児脳腫瘍に詳しい脳神経外科医による判断が重要となります。
治療は、外科的治療、放射線治療、化学療法に大別されます。
良性腫瘍は手術摘出により治癒するものもあります。画像誘導手術や顕微鏡、内視鏡などの技術を用いて、摘出率を向上させ合併症の少ない治療を行っています。
悪性脳腫瘍の場合は、外科的治療だけでは治癒出来ず、外科的治療、放射線治療、化学療法の3つを組み合わせる治療が必要です。
悪性神経膠腫、髄芽腫、胚細胞性腫瘍などの腫瘍の場合は、診断が確定した段階で、速やかに化学療法や放射線療法を行います。
今まで成績の悪かった悪性度の高い腫瘍や再発性腫瘍に対しても、定位放射線治療や大量化学療法を行うことにより生存が得られるようになってきております。
更に、脳腫瘍も長期生存例が増えるに従い、晩期障害についてのfollow upも必要となってきています。当院では、晩期障害を減らす試みも行っており、治療後も長期間follow upしております。
成人では約9割の脳腫瘍が大脳に発生するのに対し、小児では約6割が小脳や脳幹に発生します。 また脳の正中部付近に発生しやすく、脳脊髄液の循環障害により水頭症になりやすいことが知られています。 また、この髄液循環障害や急激な増大などにより、頭蓋内圧亢進症状が起こりやすく、緊急で治療を要する場合があります。
また、小児脳腫瘍は組織型が非常に多彩で、正確な病理診断が難しい場合があります。 経験が豊富な病理医による診断および小児脳腫瘍に詳しい脳神経外科医による判断が重要となります。
治療は、外科的治療、放射線治療、化学療法に大別されます。
良性腫瘍は手術摘出により治癒するものもあります。画像誘導手術や顕微鏡、内視鏡などの技術を用いて、摘出率を向上させ合併症の少ない治療を行っています。
悪性脳腫瘍の場合は、外科的治療だけでは治癒出来ず、外科的治療、放射線治療、化学療法の3つを組み合わせる治療が必要です。
悪性神経膠腫、髄芽腫、胚細胞性腫瘍などの腫瘍の場合は、診断が確定した段階で、速やかに化学療法や放射線療法を行います。
今まで成績の悪かった悪性度の高い腫瘍や再発性腫瘍に対しても、定位放射線治療や大量化学療法を行うことにより生存が得られるようになってきております。
更に、脳腫瘍も長期生存例が増えるに従い、晩期障害についてのfollow upも必要となってきています。当院では、晩期障害を減らす試みも行っており、治療後も長期間follow upしております。
脳腫瘍の治療
顕微鏡&外視鏡システム&内視鏡システムを用いた低侵襲治療
脳神経外科手術は手術用顕微鏡が導入されたことで飛躍的な進歩を遂げ、微細な手術を行うことが可能となりました。一方で、手術用顕微鏡は、焦点深度が浅い、器械自体が大きくスペースをとる、術者の姿勢が限られ疲労感が強くなるなどの問題点を抱えております。
当院は最新の顕微鏡、外視鏡システム、内視鏡システムを導入しています。
外視鏡手術の特徴の一つとして、術者の姿勢を変えずにカメラの位置を自由に変えることができ、患者さんの術中体位に無理が少なくなり、術後の体の痛みが減少します。また、内視鏡を使用することで、皮膚切開や開頭範囲も小さくすることができ、低侵襲な治療が行えます。また、顕微鏡や外資橋では見えない死角を確認することができ、安全かつ最大限の摘出を行うのに大変有用なツールです。
当院は最新の顕微鏡、外視鏡システム、内視鏡システムを導入しています。
外視鏡手術の特徴の一つとして、術者の姿勢を変えずにカメラの位置を自由に変えることができ、患者さんの術中体位に無理が少なくなり、術後の体の痛みが減少します。また、内視鏡を使用することで、皮膚切開や開頭範囲も小さくすることができ、低侵襲な治療が行えます。また、顕微鏡や外資橋では見えない死角を確認することができ、安全かつ最大限の摘出を行うのに大変有用なツールです。
ナビゲーション&画像誘導手術
脳腫瘍の手術では、ナビゲーションシステムが大変有用です。手術中に現在摘出している箇所が画像上どこに位置するかリアルタイムに表示され、術者は重要な脳組織や神経線維との位置関係を把握しながら手術を行うことが可能です。
また、三次元画像融合画像を用いたシミュレーションを行うことで、腫瘍と脳機能局在との関係を正確に把握し、安全な手術に活用しています。
また、三次元画像融合画像を用いたシミュレーションを行うことで、腫瘍と脳機能局在との関係を正確に把握し、安全な手術に活用しています。
術中蛍光診断
通常の手術用顕微鏡で観察するだけでは、腫瘍と正常脳との境界が分かりづらいことが多々ありますが、特に運動、言語などに関係する脳の近くでは、正常脳を傷つけずに腫瘍を最大限の摘出することが重要です。手術中に5-アミノレブリン酸(5-ALA)という蛍光プローブを用いると、特殊な光のもとで腫瘍が赤色に染まるため、より正確に腫瘍摘出を行うことができます。
電気生理学的モニタリング
電気生理学的モニタリングは、脳神経外科手術による影響を受ける可能性がある、脳や脳神経の既往温存は大変重要な作業です。脳及び脳神経の機能を術中にリアルタイムに監視し、術後の機能障害のリスクを軽減することを目的としています。運動誘発電位(motor evoked potential, MEP) や感覚誘発電位(sensory evoked potential, SEP)を使用し、安全な手術、神経学的機能温存に努めています。
分子診断を含めた統合診断、患者さんの状態に合わせたカスタムメイド集学的治療
脳腫瘍の病理組織診断は非常に多彩であり、それぞれに応じて適切な治療を行っていく必要があります。また、近年WHOの診断基準も分子診断を重視するようになり、このような現状にも対応するために、当院では、大阪大学、大阪医療センターなどと連携し、正確な診断を目指すとともに、腫瘍の悪性度、予想される予後、患者さんの背景などに応じた、カスタムメイドな治療を行っております。
化学療法に関しては、様々な化学療法に対応しています。
特に多いのは、悪性神経膠腫に対するテモゾロミド療法ですが、再発症例を中心にベバシズマブを含む分子標的治療使用の症例も多く治療しております。
その他、再発や難治性疾患に対しても、積極的に、手術、化学療法、分子標的療法、免疫療法の治療も検討しております。大阪大学と連携して、がん遺伝子パネル検査も行っております。
化学療法に関しては、様々な化学療法に対応しています。
特に多いのは、悪性神経膠腫に対するテモゾロミド療法ですが、再発症例を中心にベバシズマブを含む分子標的治療使用の症例も多く治療しております。
その他、再発や難治性疾患に対しても、積極的に、手術、化学療法、分子標的療法、免疫療法の治療も検討しております。大阪大学と連携して、がん遺伝子パネル検査も行っております。
脳腫瘍ガイドラインに準拠しつつ最先端の治療を取り入れた治療方針
当院は、脳腫瘍診療ガイドラインに準拠した治療を行っております。筆者自身、日本脳腫瘍学会、脳腫瘍の外科学会、日本がん学会などに所属し、大阪大学で数多くの脳腫瘍疾患を行ってまいりました。国内外の学会に参加しつつ、患者さんに様々な情報提供を行っております。手術だけでなく、集学的治療で悩みがある場合や客観的なご意見を聞きたいという場合も、診療を受け付けております。
脳腫瘍センター受診を希望される方へ
疾患・治療に関するご相談につきましては、当院の「脳腫瘍センター」を受診してください。その際、過去におとりになられた画像(MRI・CTなど)や検査結果、治療経過などがわかる診療情報などがありますと、病状の把握に大変役立ちますので、出来る限りご提供頂けますと幸いです。一人一人の患者さんをしっかりと診察させていただくため、脳腫瘍センターは基本的に予約制とさせていただいています。急ぐ症例には、直接ご連絡して状況をご説明頂けますと対応致します。お手数ですが、地域医療連絡室(電話06-6371-9921(内線353)、FAX06-6371-8580)にお電話いただき、予約をお取りください。
認知症疾患
治療可能な認知症(treatable dementia)としての慢性硬膜下血腫や正常圧水頭症の診断・手術治療も行っています。また、アルツハイマー病などの認知症の早期診断と予防、認知症ケアに精通するスタッフもおり日常のケア・支援にも取り組んでいます。
頭痛疾患
専門的な問診や検査などにより頭痛のタイプを見極め、それぞれのタイプに応じて適切な治療・対処法のアドバイスなどを行います。片頭痛治療に対応しています。
機能的外科
大阪大学からの派遣により、三叉神経痛、顔面痙攣、痙縮などに対する治療もリハビリテーション科の協力のもと行っています。
脳血管障害
早期診断と内科的治療からリハビリテーションまでの一貫した治療を実施し在宅復帰を目指します。また超急性期治療については関連病院との連携もとっています。
頭部外傷
救急疾患を受け入れ、内科的治療や手術治療にも対応しています。








